5月20日
骨折31天,石膏打了30天,第二次回診,真的超緊張
我打定主意,如果醫生說還不能拆石膏,我就要換成氣動式護具,因為意外住院險有骨折優惠,想說應該可以cover一些
想不到一進去,醫師一看到我就說好啦,來拆石膏吧
我跟舅媽當場嚇傻,「現在嗎?真的可以嗎?」
醫生「可以啊,看起來痕跡有變淡了,有在復原」
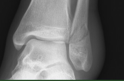
長這樣

第一眼看到我跟舅媽都愣了一下,因為原本的裂痕好像有點無法辨識出來,變糊了
所以這樣就是醫生說"裂痕變淡"了吧
於是我就被推到原本上石膏的地方,上次有一位男性總共三人,這次是由兩位女性人員執行
我原本理解的拆石膏是像這影片這樣
https://www.youtube.com/watch?v=tfFGVIwIpUw
要下刀的地方下面會塞一片鐵尺
想不到一進去,兩位護理師(不好意思我沒辦法辨識他們的職稱就先用護理師代替)就直接抓起電鋸跟我的腳要開工
我大叫「不會鋸到嗎!!??」
「不會」
當然我理智上很相信他們的技術(因為女生就是讓人比較信賴哈哈)
但還是會想說「石膏下面就是紗布而以耶怎可能不鋸到!!??」,超怕
怕到一直喘大氣,口罩一直噗噗的起伏,忍著害怕讓他們動手,
兩位動作超快,也真的沒有鋸到,鋸刀就往內壓一下壓一下,感覺的到鋸刀壓下來,但又感覺中間隔著厚厚的棉布
本來還想用手機錄影做個紀念(順便嚇嚇各位)但他說不行
很快地就在小腿兩側鋸出兩條L型,然後拿大鉗子把石膏沿著縫撐開,再把裹著的棉布撕下來
腳踝那邊裹得特別厚,她們一邊撕一邊還笑之前幫我上紗布的男性護理人員是不是「看到女生就纏得特別厚」
然後一打開我發現腳毛很開心的長得很旺盛
忍不住脫口而出「天哪腳毛天堂啊」,逗笑了兩位超專業的護理師
然後我還在霧裡雲裡的時候他們把我推出去,跟舅媽說,他現在會覺得腳沒力、腳不是自己的,等等等等等,都是正常的
舅媽問我覺得如何
我一邊試圖感受我的腳,一邊恍惚的說「.....就是他剛剛都幫我講完了」
拆開後長這樣

是不是腳毛天堂......不僅長,還捲捲的....
然後腳紅紅腫腫的,一個月前我最後一次看到它時還能見到腳板骨頭,現在看不到了
腳板上還有瘀青一塊,然後原本在小腿上的皮外傷,過了一個月還沒掉痂皮
然後原本預期應該肉壞死了的地方果然

就是瘀血
接觸到空氣之後,小腿開始有點癢癢的
慢慢地去感受腳踝的存在
先從原本就能動的腳趾動一動
踝關節一直不自覺地想回到原本被石膏固定的角度
然後因為太驚喜又太驚嚇,人一直處於一種恍惚、不真實的狀態
回到診間後我問醫師,畢竟骨頭在些許錯開的狀態下上了石膏,現在就這樣癒合,會不會以後骨頭上就凸出一條線,然後我運動的時候上面的筋或肌肉就摩擦到他
醫師「不會」
我說「雖然不太能理解但你這樣說我就相信你」
醫師「你當初就選擇不要開刀,當然要承受這樣的後果啊」
靠杯那到底是會還不會啦!!!!!!
當初你也沒跟我說不開刀會怎樣啊!!
然後我問醫師說我需不需要去看復健科
醫師「不用」
我現在踝關節明顯沒在正確位子上,腳板沒辦法向下壓,他說不用!?
然後再次說我怎麼沒有撐拐杖
靠杯我不只右腳踝連右膝都開始痛了!!撐拐杖撐到兩手手腕關節都開始痛了
真心懷疑這醫師是不是以為腓骨好了我人就回到正常生活了!?
沒關係反正我本來就沒有期待他能給我什麼幫助
於是我一樣看完西醫後立刻去看中醫,兩周份的水藥已經吃完,要拿新的,就讓醫生依照現在的狀況調整藥方
醫生說現在先不去動關節,之後再來處理,而之後還有很多事要做
至於骨頭,癒合之後受傷的地方會長一圈,凸出來的地方會變的平滑,不會妨礙運動
且斷處因為聚集更多骨質,會變得比原本強固
聽到這些我才安心一些
因此,吃兩個禮拜水藥的效果,連放三張讓大家比較,從上到下分別是受傷當天、沒吃藥兩周、吃藥兩周



第四周的照片,靠中心的裂痕明顯糊掉,看來進展不錯
因為我爬文章說腓骨斷了要六到八周
保險理賠也是以50天計算
所以四周能拆真的很開心,覺得是養傷的一大勝利
至於是不是中藥的效果,大家自己選擇相信與否吧
但我後來了解到,自費藥的部分,意外醫療險有時可以給付65%,意外住院險就算你沒住院,骨折也會給你一些錢
所以建議大家,有保險能cover的,反正就去找合格健保中醫開藥吃了再說,其他保健食品也聽中醫的建議配合著吃
結論上:骨頭的部分我就是「鈣片、中藥、膠原蛋白」繼續吃,反正中醫會控制藥方
然後我要跟關節、水腫奮鬥....
首先回到家之後發現腳腫到原本的拖鞋穿不下

傷腳水腫到小腿比健全腳的小腿還粗
整隻腳按起來都有痛感,越往下越痛
水腫讓腳板失去感覺
仔細看腳板左側瘀青特別明顯,一整排,難怪按了特別痛

可能是因為往左邊翻船的關係
然後現在關節也明顯是沒有在正常位置的
因為把腳放在地面上的過程中,會有一種關節接上、合起來的感覺,但健全腳不會
因此雖然我有嘗試讓傷腳負重,例如站個幾秒,有些角度確實負重不會痛,
但我後來想想還是給國術館處理了之後再負重,不然等於在關節還在錯誤位置的時候就使用了它,怕傷害軟組織
另外,原本以為拆了石膏會比較好睡,想不到還是喬好久
因為拆石膏當天睡覺把腳伸直放在床上時小腿肌肉有點抽筋,然後腳底從大拇指開始的地方有時候會瞬間抽痛,痛醒
這時候很高興自己的枕頭是低反發枕頭,腳踝放在上面比較不會有反作用力影響腳踝的角度
如果是放在床上,會動到關節,會痛,連小腿肌肉都會有抽筋感覺
從剛受傷開始,這顆枕頭就一直當我放在床上的傷腳墊......
5月21日
過了24小時,水腫沒有什麼明顯改善


但跟右邊拆石膏第一天的照片比起來,可以看出來腳板顏色變得沒那麼深了
晚上睡前我用先前那位念中醫的朋友自製的紫雲膏擦了水腫的腳
稍微用力的擦,當作按摩
5月22日起床時明顯發現腳小了一號!因為一穿拖鞋馬上有感
於是我5月22日晚上又如法炮製
第二天起床腳趾頭彎曲時甚至可以產生"喀拉"的聲音了
我在想應該是組織之間的水變少,骨頭間縫隙增加,才能發出這種聲音
當然外觀上也看得到變化,大拇指下方的骨頭開始看得到
然後左腳小腿一夜之間變得比右腳細

照片沒有很明顯,但肉眼看起來差不少
除了按摩跟紫雲膏之外,早睡、睡久一點我猜測也有差
水腫真是一種可怕的彈力係數啊....
另外,因為小腿一直被包在石膏裡
腳毛生長受到阻礙,塞在毛囊裡
拆石膏第三天晚上突然開始好癢好癢,尤其是長期貼著石膏的小腿肚,明顯看到很多因為腳毛塞在皮下產生的紅腫
我只好用去角質功能很強的洗臉刷,把小腿刷過一遍
刷過之後就好多了....幸好
5月24日,骨折36天
早上起床又感覺傷腳水腫退更多,連腳板血管、趾根皺皮都可以看到了
倒是左腳膝蓋因為一直跪在椅子上,瘀青看來要變成常客
不知道是不是因為水腫退了,關節感覺變的空蕩,錯位的痛變得更明顯
再加上親戚說骨頭癒合前先別急,不要整復,於是我先用了貼紮,把關節固定好,像醬
然後在房間裡練習站、走
以不痛為原則
比較明顯感受到的是小腿很沒力
5月25日
今天腳板終於看起來不像屍體了
不過坐了一整天下班後,傷腳還是比健全腳腫
